MRI検査
MRI検査について
MRIの特徴
MRI(Magnetic Resonance Imaging)は、強力な磁場と微弱な電波(ラジオ波)を利用して人体を撮影する検査です。
CTと装置の外観は似ていますが、MRIでは放射線被ばくがありません。CTと比べて、人体組織のコントラストがつきやすく、特に脳、脊椎、関節軟骨、脂肪、乳房、腹部骨盤部の臓器(肝臓・胆のう・膵臓、子宮・卵巣・前立腺など)といった、動きの制御できる軟らかい組織での病変描出に優れています。また身体の部位によっては、造影剤を使わずに血管の描出も可能です。
従来では1.5T(テスラ)という磁場強度のMRIが主流でしたが、当院では2015年3月に、大学病院などでも使用されている最新の3T-MRIを導入しました。
原理的に磁場が強いほど高画質な画像が得られますが、3T-MRIは臨床で用いられているものの中でも最も磁場の力が強く、今まで見つけにくかった病変も明瞭かつ詳細に描出できるようになりました。
画質向上だけでなく検査時間短縮も可能となりました。特に腹部などの息止めが必要な検査において、従来20秒前後かかっていた範囲も8秒ほどで撮影できるようになり、年配の方などにも優しいものとなっています。
一方で、MRIには欠点もあります。まず強力な磁場を使用するため、体内に金属や機械(心臓ペースメーカー、脳動脈瘤クリップなど)がある方は検査ができない場合があります。
また、検査中の身体の動きに非常に弱い検査です。小児の方、また痛みなどで検査中の静止が難しい方には、必要に応じて鎮静剤や痛み止めを行う事もありますが、やむを得ず検査を中止する場合もあります。
検査時間は撮影部位によって異なりますが、だいたい30分から1時間程度です。撮影中は装置から非常に大きな音がします。
撮影について
MRI入室前の準備
MRIでは強力な磁場を使用するため、検査室には金属類の持ち込みはできません。そのため、後述の「検査の注意事項」に示すような体内金属や装着品などがある方は、検査ができない場合があります。患者さんの安全にも関わる事ですので、必ず検査前に問診や金属探知機などでご確認させていただきます。
着替えられた服や貴重品などは前室のロッカーに入れていただきます。
問診確認
金属探知機での確認
また造影剤を使用する検査の場合は、長い検査時間を最小限にするため原則として検査前に血管確保を行います。
MRI入室
スタッフが検査室にご案内いたします。このとき、ロッカーのカギは室内の所定の場所に置いていただきます。入室後、検査寝台に横になっていただきます。
そして、「コイル」というものを装着させていただきます。これは画像をより詳細に得るために必要なもので、各検査部位に応じた様々なコイルがあります。
位置合わせ
撮影用コイル
装着後、機械の中に配置していきます。検査中は身動きがとれませんので、気分不良などがある場合には、お渡しするブザーを握ってお知らせください。
MRI撮影
検査時間は撮影部位によって異なりますが、だいたい30分から1時間程度です。検査中に身体の動きがあると画質が損なわれ、診断に影響します。撮り直しによって検査時間が延長する事もありますので、できるだけご協力をお願いいたします。
撮影中は装置から様々な大きな音がします。呼吸停止がない検査については、あらかじめ耳栓をお渡しいたしますのでご使用ください。
モーションアーチファクト
耳栓
検査の注意事項
MRI検査室内は強力な磁場が発生していますので、検査が受けられない方や室内に持ち込めないものなどがあります。
検査が受けられない方
- 心臓ペースメーカーを装着している方
- 人工内耳を装着している方
検査を受けられない可能性がある方
- 脳動脈瘤クリップがある方
- 人工関節などの金属が埋め込まれている方
- 刺青のある方
- 妊娠されている、またはその可能性のある方
機器の故障や検査の質などに影響する事がありますので、必ず取り外してください。
- 金属類:携帯電話、時計、メガネ、カギ、ヘアピン、アクセサリー類など
- 磁気カード:キャッシュカード、クレジットカード、診察券、駐車券など
- その他:補聴器、義歯、カイロ、エレキバン、ベルト、金属のある下着、アイメイク、コンタクトなど
当院では年に数回、スタッフに対してMRIについての安全管理研修会をおこない、日常診療での安全意識づくりに努めています。
MRI画像例
左右にスクロールして画像をご覧いただけます。
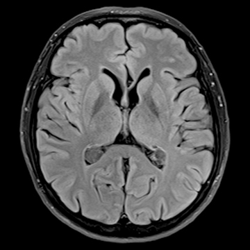
頭部ルーティーン
T2 TSE, matrix 512,
Dark Fluid, matrix 320,
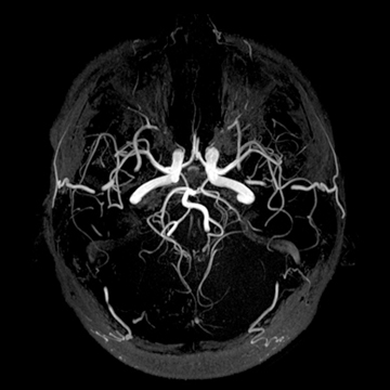
頭部MRA
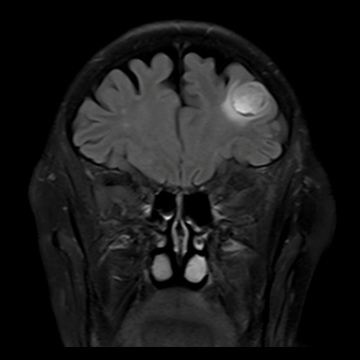
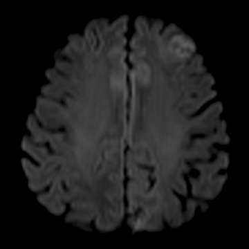
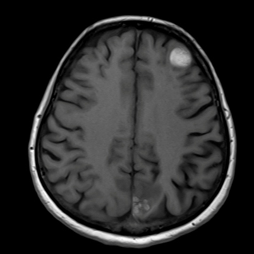
腫瘍
Dark Fluid, 320 matrix
T1 FLASH, 320 matrix
Diffusion, b-value 1000, iPAT 2
T1 MPRAGE pc, iPAT 2
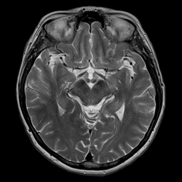
脳腫瘍
T1 TIRM
matrix 320, FOV 220 mm,
T2 TSE, matrix 384,
FOV 220 mm,
T2 TIRM
matrix 320, FOV 220 mm- 頭部MRA
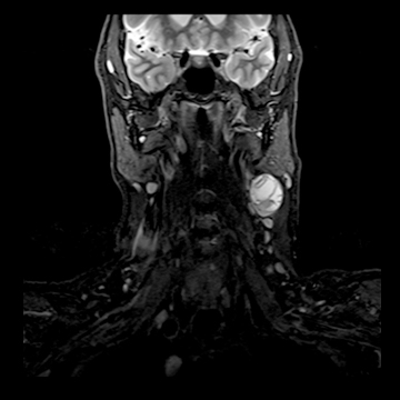
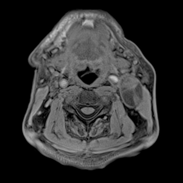
頚部腫瘍





- 造影3D VIBE
- 体動の影響を受けにくい
頚椎
T1 TSE, 384 matrix,
T2 TSE, 384 matrix,
T1 TIRM, 320 matrix,
T2 TSE, 384 matrix,
全脊椎
T1 TSE, 448 matrix
T2 STIR, 384 matrix,
膝関節
PD 脂肪抑制
PD 脂肪抑制
T1 TSE
T1 TSE
3D TrueFISP脂肪抑制
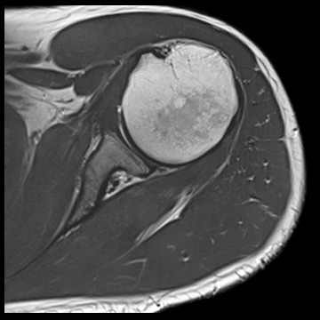
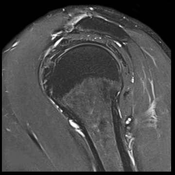
肩関節
T1 TSE FatSat,
T2 TSE FatSat,
T2 TSE,
手・指関節
PD TSE,
PD TSE SPAIR,
T1 TSE
TNATIVE SPACE非造影
MRCP
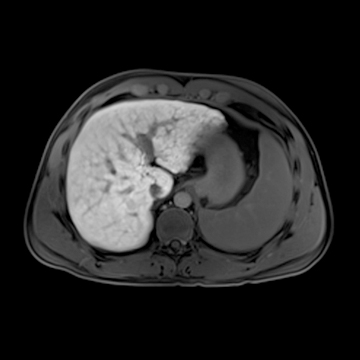
腹部造影検査
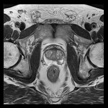
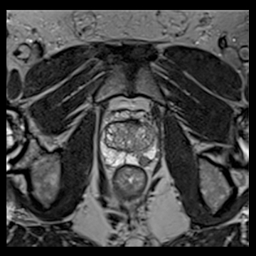
前立腺
高分解能T2
T2
T2
T2
RESOLVE, b=800
and ADC map,
RESOLVE, b=800
and ADC map,
乳腺
MRI画像(提供:シーメンスジャパン株式会社)
検査機器
2015年3月に最新の3T-MRIを導入しました。
検査時間短縮・画質向上はもちろん、ボア径(体が入る中の筒部分)が70cmと広くなり、より快適な装置になりました。

SIEMENS社製 MAGNETOM Skyra 3T
ご不明な点がございましたら、遠慮なくスタッフにお尋ねください。









