血管造影(DSA)検査
血管造影検査について
血管造影検査は、各種の画像診断機器(CT、TV透視装置、MRIなど)を利用して行われるIVR(Inteventional Radiology)検査のうちの1つで血管系IVR検査とも言われます。
具体的には、体内の状態を画像でリアルタイムに観察しながら、針やカテーテルを血管に進め、そこで病変の治療を行います。治療の際には、造影剤を使用し、骨や臓器の障害陰影を除去して血管だけの画像を作ることで作業をスムーズに進めます。
血管造影検査は、外科的手技と比較して低侵襲であり、患者さんに対する負担が少なく、迅速かつ効果的に病気の治療、診断を行う事が出来ます。そのため、高齢者のかたや状態の悪い方に有効な場合があります。
撮影について
当院で行っている血管造影検査を紹介します。
- 血管塞栓術(肝臓がんに対する肝動脈塞栓術、出血に対する緊急止血術、動脈瘤に対する塞栓術)、血流改善(透析のシャント血管の狭窄に対する血管拡張術、血栓溶解療法)
- 化学療法のための中心静脈留置術
- 動注化学療法(肝臓がんに対する動注、肝動脈リザーバー留置術)
- 胃静脈瘤に対する硬化療法
頻度の高いのは、1、血管塞栓術の肝臓がんに対する肝動脈塞栓術で、肝臓がんに栄養を送っている肝動脈を塞栓物質(ゼラチンスポンジなど)で血流を遮断し、成長を阻害することで治療を行うものです。塞栓物質と一緒に抗がん剤も混ぜて注入を行い、治療効果をさらに高めます。
治療の際には『Artis zee ceiling』で、血管だけ見える画像を作成し、肝臓がんを栄養している肝動脈を選択的に塞栓することで、正常な肝臓にほとんど影響を与えることなく治療を行う事が可能です。
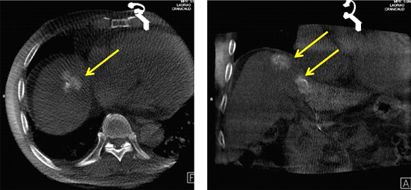
また、治療後にも『Artis zee ceiling』ではCTのような画像を取得できるため、塞栓した領域の確認を行うことができます。このように当院では、『Artis zee ceiling』を最大限に活用し、患者さんへの負担は最小限に抑え、効果を最大限に発揮できるような血管造影検査を行っています。

DSA画像

治療前後のDSA画像(骨を除去した画像)を比較すると、造影剤で黒く染まっていた肝臓がんの部分が不明瞭化しているのが分かります

治療後にCTのような画像を撮影して、きちんと肝臓がんのところにだけに塞栓物質を詰めれているか(*白い部分が塞栓した部分です)が確認できます
検査機器
2014年にSIEMENS社製の『Artis zee ceiling』を導入し幅広く診療に役立てています。



