血液・輸血検査
血球算定
採血された血液の赤血球数、白血球数、血小板数などを機械(写真左)で測定しています。赤血球数(RBC)やヘモグロビン(Hb)などは、貧血の診断に重要な項目です。
白血球(WBC)は、一般的に細菌感染によって増加し、ウイルス性疾患や薬剤で減少することがあります。血小板(PLT)は、主に血を止める役割を持っています。減少すると出血が止まりにくくなります。
分析機械で異常値がでた場合は、塗抹標本を作製し、顕微鏡で細胞を観察しています。
血液凝固・線溶検査
血液の中には、血液を固まらせる成分(凝固成分)と、固まった血液を溶かす成分(線溶成分)があり、これらの成分の検査をしています。(写真)
この検査は手術前や抗凝固作用のあるお薬(ワーファリン等)の効果をみるために行います。

Sysmex CS-2100i
その他検査
骨髄像検査
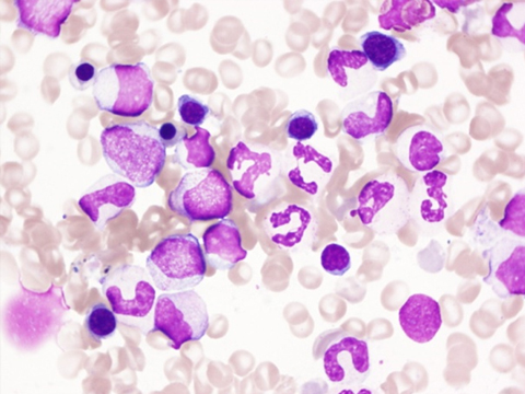
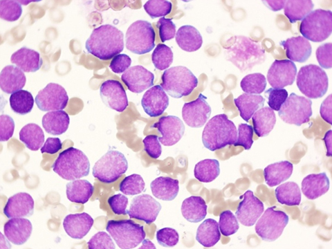
血液は骨髄で作られています。造血工場である骨髄から細胞を採取し、細胞の形態異常の有無を顕微鏡で観察しています。骨髄検査は、白血病などの血液の病気の診断・治療などには必須の検査です。当院では、年間600件以上の骨髄検査が行われています。下の写真は、左が健常人、右が白血病患者さんの骨髄中の細胞を示しています。

正常骨髄像
白血病患者の骨髄
細胞性免疫検査
血液細胞の表面にある抗原の種類を調べ、病気の診断治療効果の判定を行っています。当院には多くの血液疾患の患者さんが来院されますが、その方々の中には、造血幹細胞移植が必要な人も多くおられます。造血幹細胞移植には骨髄移植、末梢血幹細胞移植(PBSCT)、臍帯血移植など様々な方法がありますが、当院ではPBSCTを行っています。
適切なPBSCTを行うためには、末梢血液中に存在する造血幹細胞の数を正確に把握することが必要になりますが、当検査室では、この機械を用いて測定し、速やかに具体的な数値を臨床医に伝える体制を整え、診療に貢献しています
スライドカンファレンス
血液部門では、週に2回、骨髄検査について血液内科の医師と共にスライドカンファレンスを行い、精度の向上と良質な医療の提供に努めています。

カンファレンス
輸血検査
輸血をする際、患者様の血液と輸血する血液製剤とが、適合しているか検査を行います。
また、輸血用血液製剤の管理や運用などの輸血関連業務も検査室で一元化して行っています。このような取り組みは、円滑な運営や血液製剤の無駄な廃棄を減らすことに役立っています。


