脳検査(MRI・MRA)
検査の目的
脳梗塞、脳動脈瘤、脳腫瘍など脳の病気を早期に発見することを目的とします。
発見される主な病変
無症候性脳梗塞や大脳白質病変は、脳ドック受診者の約30%に発見されるといわれています。これらの高度なものは、高血圧、糖尿病、高脂血症などと同様に、脳卒中の危険因子です。また、くも膜下出血の原因の大部分は脳動脈瘤の破裂です。
未破裂の脳動脈瘤の発見率は0.4~9.0%と報告されており、発見された場合は必ず経過観察が必要であり、大きさや形状、部位などによっては治療を検討すべき場合があります。

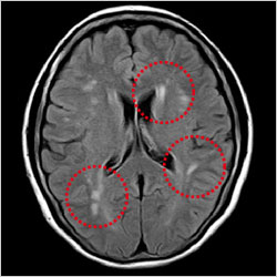
大脳白質病変

脳動脈瘤

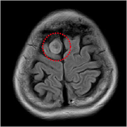
脳腫瘍(髄膜腫)
検査のご案内
MRIによる脳検査はオプションです。
検査時間は15分ほどで、検査台に仰向けに寝ているだけですが、頭だけでなく身体全体が検査装置の「トンネル」の中に入り、検査中は比較的大きな音がします。そのため、狭い場所が苦手な方は検査ができない場合があります。
また、心臓ペースメーカーの埋め込み術を受けている方はMRI検査はできません。その他にも、体内に金属が埋め込まれている方は検査ができない場合がありますので、申込前に確認してください。



