胸部CT検査(ヘリカルCT)
肺がんはがん死亡者数第1位
近年、死亡者数が最も多かった胃がんを抜いて肺がんがトップになりました。
その原因の1つとして肺がんは発見されたときにはすでに手遅れな状態であることが多いからです。
しかし、早期の状態で発見し早期治療をすることで治療は可能です。
胸部レントゲンと胸部CTの違い
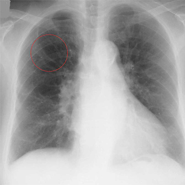
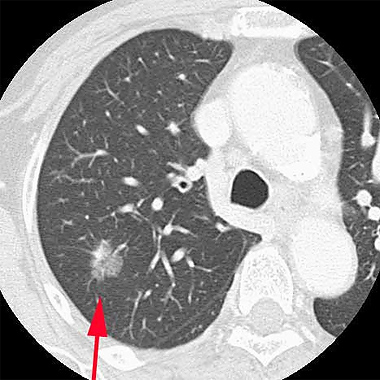
下の画像にあるように左が〈胸部レントゲン〉で右が〈胸部CT〉です。
左の〈胸部レントゲン〉の丸印のところが、右の〈胸部CT〉の矢印のところになります。このように、早期のがんは淡く小さな影で胸部レントゲンでは発見しにくいものです。
したがって、胸部の検診にはCTをお勧めしています。

胸部レントゲン

胸部CT
胸部レントゲンと胸部CTの違い
喫煙指数(1日の喫煙本数 × 喫煙年数)が 600 以上の方
年齢が50歳以上の方(男女問わず)
この内容に当てはまる方は特に検査をお勧めいたします。
※通常の胸部CT検査に比べ、放射線被ばくは抑えて検査をさせていただきますが妊娠可能な方、また20代~30代前半の方へはお勧めしておりません。
検査のご案内
胸部CTの検査時間は5分程度で負担の少ない検査です。


